ここでは数あるクリニックの中から、目的に応じて3院ピックアップ。
ぜひ、あなたに合った歯科クリニックを見つけるための、参考にしてみてください。
矯正専門の歯科医院として豊富な臨床実績があり、一般矯正治療や小児矯正はもちろん、顎変形症などへの外科的矯正治療も対応している岡山駅前田中矯正歯科医院。ここでは、岡山駅前田中矯正歯科医院について紹介しています。
最初は初めての矯正で不安でしたが、スタッフの方々が優しくしてくれたり、丁寧に歯について教えてくれたりして安心して通うことが出来ました!
先生も気になるところはないかと毎回聞いてくれて、気になるところを言ったら適切に答えてくれてとても嬉しかったです。(後略)
最初は矯正することがとても怖く不安でしたが、先生方とても優しく丁寧に治療してくださり悩みなども聞きやすかったです!(後略)
(前略)院内も清潔感があり、先生やスタッフの方々の対応もすごく丁寧で本当に行ってよかったと思います。
(前略)とても丁寧に話を聞いていただけたことと、岡山駅から近く通いやすかったことで、こちらの医院に決めました。(中略)
医院もいつも綺麗です。
岡山駅前 田中矯正歯科医院の口コミを調査したところ、「優しく丁寧に治療をしてくれる」「相談や希望を親身に聞いてくれる」といった内容の声が多く見つかりました。
そのため、「歯医者が苦手で緊張してしまう」という方にもおすすめのクリニック。わからないことや不安なことがあっても、医師やスタッフが優しく対応してくれるでしょう。
| 初診相談 | 無料 |
|---|---|
| 検査料 | 33,000円 |
| 診断料 | 16,500円 |
| 子供の矯正(Ⅰ期治療) | 110,000~440,000円 |
| 大人の矯正(Ⅱ期治療) | 770,000~1,320,000円 |
| 処置料 | 3,300~5,500円 |
骨格に著しい不調和があり、通常の矯正治療では難しい場合では、保険適応の外科的矯正治療で対応しています。1~2年ほどかけて歯の再排列をおこない手術。術後に咬み合わせで歯列の調整、仕上げを行います。これらの治療計画は院長が立案し、連携医療機関と連携しています。
また、歯を整える矯正治療だけでなく、白くきれいにするホワイトニングにも対応。自宅でやるホームホワイトニングと、来院しておこなうオフィスホワイトニングと選べます。
経験豊富な矯正専門医師が、セファロやCT、3Dプリンター、口腔内スキャナー(iTero)などデジタル機器も用いた科学的根拠から、患者さん一人一人にあった治療方法や矯正装置を提案。これらのデジタル機器を使う事で治療イメージを明確化し、患者さんの不安や疑問を和らげています。
また、平日19時まで診療している日もあるので、仕事や学校帰りに寄りやすいのはもちろん、トラブル時にも安心です。
矯正治療で使う装置には、一般的なマルチブラケットの他、歯の裏側にする目立たないリンガルブラケット、半透明で取り外しができるマウスピース(インビザライン)と用意。
特にインビザラインでは、インビザライン専用の3D口腔スキャナー「iTero element」でデータを簡単に採取でき、細かい3Dシミュレーションを作成。治療の終わりや歯の完成形がわかるといったメリットがあります。また、マウスピースに金属はふくまれていませんので、金属アレルギーで矯正が難しい方でも問題なく治療をおこなうことができます。
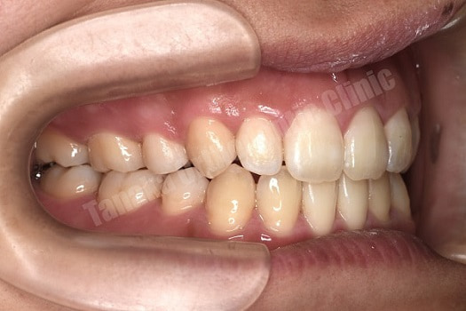
出っ歯と開咬に悩む患者に対し、小臼歯4本抜歯と唇側マルチブラケット装置を用いて治療を行いました。通常の顎間ゴムではガミースマイルが悪化する恐れがあったため、矯正用アンカースクリューを用いて大臼歯部を圧下。必要に応じて下顎前歯の圧下も行いました。結果、前歯部開咬が改善され、機能的で審美的な咬合を達成。患者さんとご家族にも大変喜んでいただきました。
| 治療内容 | 唇側マルチブラケット装置、インプラントアンカー 顎間ゴム、抜歯 上下顎左右4番 |
|---|---|
| 治療期間・回数 | 約2年半 |
| 費用※自由診療となります。 | ¥80万円後半 |
| リスク・副作用 | 前歯の歯根吸収、前歯部の歯肉退縮やブラックトライアングルが生じる可能性がある、顎間ゴムによる顎関節症が生じる場合がある。 |

院長は日本矯正学会指導医・日本矯正歯科学会認定医。一般矯正・小児矯正の他、先天疾患や外科的矯正治療などさまざまな症例での治療経験があります。


診察室内は、ホワイトで統一された清潔感ある明るい空間。歯科用チェアーは4台導入されており、それぞれの空間にゆとりをもたせて配置されています。また、チェアー間にはパーテーションがあるため、他の患者さんと視線が合う心配もありません。
カウンセリング室は、プライバシーに配慮した個室を用意。相談内容が周囲に漏れ聞こえてしまうことがないため、安心して相談できそうです。資料や画面を見ながら、歯に関するさまざまな悩みを相談できます。
矯正治療とホワイトニングに特化した専門の医院。高度な技術が必要となる外科的矯正治療にも対応しているなど、さまざまな症例での治療を可能にしています。また、治療装置も多数用意されており、症状や生活スタイル、希望に合わせて矯正治療方法を選べます。
| 所在地 | 岡山県岡山市北区本町6-36 第1セントラル6F |
|---|---|
| アクセス | 岡山市北区・JR「岡山駅」より降りてすぐ |
| 診療時間 | 月曜・火曜・金曜:10:30~13:00、14:30~19:00、土日:9:30~12:30、14:00~18:00 |
| 休診日 | 水曜・木曜・祝日 |
| 電話番号 | 086-223-6922 |
| 公式HP | https://tanaka-kyousei.com/ |
ここでは数あるクリニックの中から、目的に応じて3院ピックアップ。
ぜひ、あなたに合った歯科クリニックを見つけるための、参考にしてみてください。


