ここでは数あるクリニックの中から、目的に応じて3院ピックアップ。
ぜひ、あなたに合った歯科クリニックを見つけるための、参考にしてみてください。
口腔筋機能療法を取り入れた矯正治療と外科的矯正で、難症例への対応も可能としている専門の医院。マウスピース型やリンガルブラケットなど目立たない矯正治療にも対応しています。ここでは、じんの矯正歯科について紹介しています。
(前略)私の性格も考慮して、丁寧にカウンセリング・ご提案してくださり感謝しています(後略)
(前略)治療の目的やベストな開始時期を丁寧にご説明いただけ信用できたことと、何より子供がここでやりたいと言ったことが決め手でした。
(前略)先生はいつも話しやすくて、ちょっとした疑問にも丁寧に説明していただけるし、励ましてくださるし、受付スタッフの方もいつも親切なので、本当にストレスなく通院できています。最後まで頑張れそうです!
矯正専門の歯医者さんです。スタッフも親切で仲がよさそうで雰囲気がいいです。(後略)
カウンセリングをじっくりと行ってくれたのがありがたかった、といった口コミのほか、信頼感のある説明や子どもが希望したことを評価する口コミなどから、治療に関する不安感を和らげることを大切に考えている歯科医院であることがうかがえます。
また、気軽に質問したり相談したりできる先生の雰囲気や、仲の良さそうなスタッフさんたちなど、緊張しがちな方でもリラックスして通院できるでしょう。
| 相談料 | 無料 |
|---|---|
| 検査・診断料 | 55,000円 |
| 子供の矯正(Ⅰ期治療) | 110,000~330,000円 |
| 大人の矯正(Ⅱ期治療) | マルチブラケット矯正装置770,000~990,000円、マウスピース型矯正装置(インビザライン)770,000~990,000円、舌側矯正990,000~1,210,000円、舌側矯正(上下)1,210,000~1,430,000円 |
| 部分矯正(MTM) | 110,000~440,000円 |
| オプション | 歯科矯正用アンカースクリュー22,000円/1本 |
| 調整料 | 5,500円/月 |
子どもの矯正治療では、骨格の成長に影響するような歯並び・噛み合わせにおいておこなっています。使用する装置には、着脱可能な装置や固定式、ワイヤー装置、顎の成長誘導・抑制器具など、治療内容に合わせて決まります。
大人の矯正治療では、マルチブラケットやリンガルブラケット、マウスピース型矯正装置(インビザライン)など数種類用意。子どもの矯正治療と異なり、治療前に歯周病治療なども考慮しておこないます。
顎変形症などの特殊なケースでは、通常の矯正治療で歯を動かすだけでは十分な結果が得られにくいため、外科手術も合わせておこないます。矯正治療と外科手術を合わせることで、噛み合わせだけでなく骨格のズレや顔形の改善効果も期待できる場合があります。
じんの矯正歯科は自立支援医療(更生・育成医療)、顎口腔機能診断施設の指定機関になるため、外科手術を伴う顎変形症治療では健康保険が適用されます。
矯正治療をスムーズに進め、治療修了後の後戻りを予防し安定した歯並びを維持するため、口周りの筋肉や機能を鍛える口腔筋機能療法(MFT)を取り入れています。
また、口腔筋機能療法では舌癖の改善にもなり、不正咬合予防にも役立っています。生活スタイルや現在の歯の並びや噛み合わせなどから指導内容は異なり、歯科医師と歯科衛生士が適切に見極め指導しています。
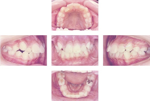
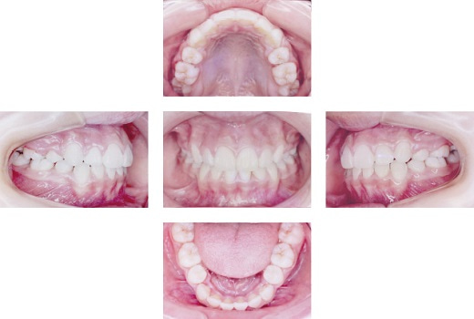
でこぼこが気になるという悩みから来院され、叢生を伴う上顎前突と診断。マルチブラケット装置を用いた治療を行い、2年3ヶ月で矯正治療が終わりました。
| 治療内容 | マルチブラケット装置 |
|---|---|
| 治療期間・回数 | 2年3ヶ月/27回 |
| 費用※自由診療となります。 | 1,083,500円(税込) |
| リスク・副作用 | ・装置が付くと装置に擦れて口内炎が出来やすくなる ・歯が動くときに痛みがでることがある ・装置が付くと歯みがきが難しくなるため虫歯や歯肉炎につながりやすい ・患者様に協力していただけないことがあると治療が進まない事がある ・治療後、保定装置(リテーナー)を指示通り入れないことや、その他の指導内容が守れない場合、後戻りする可能性があること ※上記の内容は個人差があり、全ての方に当てはまるものではございませんので参考としてご覧ください。 |

日本矯正歯科学会認定医の院長と、日本矯正歯科学会認定医・指導医の資格をもつ顧問医師が、咬める、美しい口元、安定した歯並びをモットーにした治療を提供しています。


光学スキャナーのアイテロエレメント2を導入しています。口の中をスキャンできるため、施術時間の短縮が実現します。患者さんの負担を軽くすることができる装置です。
デジタル化した口の中の情報をもとに、マウスピース型矯正装置を製作することが可能です。また、治療過程や治療が終了した時点での歯並びのイメージ画像も確認できるため、治療を受けるためのモチベーションアップにつながります。
特殊なケースでは保険適用の外科手術も合わせておこなうなど、幅広い症状への矯正治療を可能にしています。また、原因の改善や長期的な安定のために口腔筋機能療法も取り入れるなど、矯正装置だけでない長い目で見た治療を提供しています。
| 所在地 | 岡山県岡山市北区野田屋町1-7-17 千代田生命ビル3F |
|---|---|
| アクセス | JR「岡山駅」東口より桃太郎大通りを東へ徒歩5分 |
| 診療時間 | 9:30~12:00・13:30~19:00 |
| 休診日 | 木曜・日曜・祝日 |
| 電話番号 | 086-222-7822 |
| 公式HP | https://www.kyoseishika.jp/ |
ここでは数あるクリニックの中から、目的に応じて3院ピックアップ。
ぜひ、あなたに合った歯科クリニックを見つけるための、参考にしてみてください。


