ここでは数あるクリニックの中から、目的に応じて3院ピックアップ。
ぜひ、あなたに合った歯科クリニックを見つけるための、参考にしてみてください。
外科矯正を健康保険適用で治療するための施設基準を満たし、都道府県知事より顎口腔機能診断施設の指定を受けているクリニックです。一般の矯正治療から保険適用の外科手術、他院からの再治療とさまざまなケースの実績があります。ここでは、かたやま矯正歯科クリニックについて紹介しています。
(前略)手術が不安でしたが、先生が丁寧に説明してくださり安心して進められました。(後略)
矯正治療を始めるにあたって不安もありましたが、先生が穏やかな対応してくださるので安心して通えています。
矯正の相談のため来院しました。CT検査をしてもらい、今の状態や治療した後の変化なども分かりやすく説明してもらえました。
優しい先生で、病院も綺麗でした
いくつか矯正のカウンセリングを受けましたが、ここが1番、丁寧で詳しく説明してくれました。
デメリットもちゃんと教えてくれたので納得して矯正を始めることが出来ました。(後略)
かたやま矯正歯科クリニックの口コミを調査したところ、「医師の対応が丁寧」という声が複数見つかりました。穏やかで丁寧な対応をしてもらえることで、安心して治療を進められるのだそうです。
「デメリットもきちんと教えてくれる」といった内容の声もありますので、矯正治療について疑問や不安のある方にもおすすめのクリニックです。
| 初診診察料 | 3,300円 |
|---|---|
| 検査・診断料 | 33,000~55,000円 |
| 基本装置料 | 乳歯列期165,000円、混合歯列期330,000円、マルチブラケット660,000~726,000円、上顎のみ舌側矯正、下顎は舌側矯正825,000~858,000円、上下とも舌側矯正990,000~1,155,000円、マウスピース矯正(インビザライン)279,000~726,000円、部分矯正55,000~660,000円 |
| 処置料 | 2,200~6,600円 |
| 外科矯正(保険適応) | 負担金3割の場合100,000~500,000円程度 |
矯正治療の専門家が診察・治療をおこない、噛み合わせ機能の向上と美しい口元を作ります。その矯正治療は、早期予防で抜歯不要の治療を目指すオーダーメイド矯正治療に対応。治療期間は長期にわたることから、コミュケーションを大事に、楽しく通院できる医院づくりに力をいれています。
また、かたやま矯正歯科クリニックは顎口腔機能診断施設の指定を受けているクリニックです。骨格の異常などでは、健康保険適用の外科的矯正にも対応しています。
子どもの矯正治療では、3歳からの幼児矯正と6歳からの小児矯正とあり。成長発育をコントロールしながら、顎の骨を正しく整え、歯並びの土台をつくり抜歯しない治療に導いていきます。
使用する装置は年齢や状態に合わせて、咬合誘導装置や床装置、クアドヘリックスなど多数用意。また、舌や口唇などの動きを改善するためのマッスルファンクショナルトレーニング(筋機能訓練)もおこなっています。
大人の矯正治療では、審美性に配慮した見えにくい治療を提案。表からは見えない舌側矯正(リンガル矯正)、透明で気が付かれにくいマウスピース矯正(インビザライン、アソアライナー)などがあります。
インビザラインの治療では、途中から舌側矯正装置へのやり替えも可能。治療への負担を減らすため痛みの少ない治療をモットーにしています。
また、現在他院で治療中、もしくは以前に他院で治療したのが戻ってしまった方などの再治療にも対応しています。
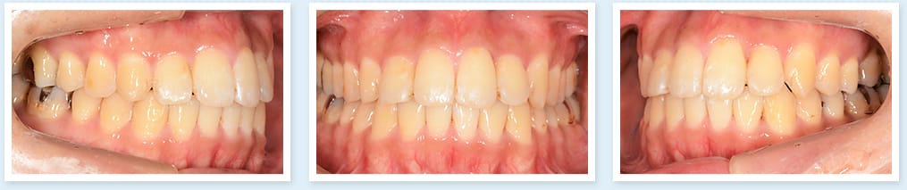
前歯のガタガタを気にして来院されました。上下の歯列を拡大してマルチブラケット装置で治療しました。結果、ガタガタが治りきちんと噛み合うようになりました。治療後2年経過しても安定しています。
| 治療内容 | 上下マルチブラケット装置 QH BH |
|---|---|
| 治療期間・回数 | 1年9ヵ月 |
| 費用※自由診療となります。 | 63万円(税別) |
| リスク・副作用 | ・治療後に保定装置(リテーナー)を指示通り入れないことがあると後戻りする可能性があること ・治療中や治療後に指導内容が守れない場合、治療期間が延びたり後戻りする可能性があること ・個人差はあるが痛みがでる可能性があること ・装置を装着した後、装置が擦れて口内炎ができることがある |

院長は日本矯正歯科学会認定医、歯学博士(歯科矯正学)。他、2名の認定医が在籍(2024年8月調査時点)し、明るく親しみやすい歯科医院作りをモットーにしています。また、早期予防矯正・歯を抜かない矯正治療を目指し、治療後のアフターケアにも力を入れています。


院内はホワイトと明るい木目を基調とした清潔感のある空間で、イスに腰掛けてゆったりと過ごせそうな雰囲気です。
また、診察室はパーテーションで区切ることで、プライバシーに配慮。治療中に他の患者さんの視線が気になることがありません。一つひとつの空間に余裕をもたせているため、圧迫感や閉塞感も感じにくいでしょう。
なお、診察室に設置されたデンタルチェアは、感染対策も考慮されたモリタ社製のものを採用しています。
矯正専門の医師が診察・治療がおこない、治療後も長く安定した歯並びを維持するオーダーメイド矯正治療。外科矯正を健康保険適用で治療するための施設基準を満たし、都道府県知事より顎口腔機能診断施設の指定を受けているクリニックなので、顎変形症や口唇口蓋裂などの骨格の異常がある場合でも適切な治療が受けられます。
| 所在地 | 岡山県岡山市北区清心町1-24 |
|---|---|
| アクセス | 契約駐車場の案内/岡山市北区伊福町2-6-6(2・4・5・6・7番の5台分) |
| 診療時間 | 月曜・火曜・水曜:10:00~19:00または14:00~20:00 金曜:10:00~19:00、土日祝:9:00~18:00 |
| 休診日 | 木曜、日曜は月2回休診 |
| 電話番号 | 0120-77-4618・086-252-4618 |
| 公式HP | http://www.katayama-ortho.com/ |
ここでは数あるクリニックの中から、目的に応じて3院ピックアップ。
ぜひ、あなたに合った歯科クリニックを見つけるための、参考にしてみてください。


