ここでは数あるクリニックの中から、目的に応じて3院ピックアップ。
ぜひ、あなたに合った歯科クリニックを見つけるための、参考にしてみてください。

石井歯科・矯正歯科クリニックの口コミや矯正治療の特徴、症例などをまとめました。
とても気さくな先生で、色々と相談に乗ってくれます。(中略)私を気にかけて声を掛けてくれたりするのも安心します。
とても綺麗な歯医者さんなので通院することがストレスがなく、先生やスタッフの皆様も明るくて親切な方々ばかりですので安心して自身の歯を任せることができます。ブラッシングのやりかたも教えてくれるのでホームケアもしっかりと行えて大変満足をしています。いつもいつもありがとうございます。いい歯医者に出会えて嬉しいです。
とっても綺麗な歯医者さんです。私は歯を定期的にケアしてもらっているのですが、治療するところもとっても綺麗で明るいです。先生や歯科助手の方達も明るく元気な印象があります。(後略)
息子が通っている歯医者さんです。ここは活気があって素敵な歯医者さんです。院内もいつも清潔感があり(当然なのかもしれませんが)清掃が行き届いているようで落ちついてリラックスしながら待つことができますよ。
口コミからは、丁寧な説明を受けながら安心して通院したい方に向いていることがうかがえます。問診やカウンセリングが細やかで、分かりやすく説明してもらえる点を評価する声が見られました。
また、院内の清潔感やスタッフの明るい対応を重視する方、ホームケアについてもアドバイスを受けながら長く通いたい方に適したクリニックといえるでしょう。
| メタルブラケット | 55万~66万円 |
|---|---|
| セラミックブラケット | 66万~77万円 |
| 裏側 | 115万5,000~154万円 |
| ハーフ(上下どちらか裏側) | 82万5,000~115万5,000円 |
| アクアトレー | 1個につき6万6,000円 |
| 部分矯正 | 11万~33万円 |
矯正の治療方法を考える際には、矯正歯科分野のみならず、補綴や外科、保存などと組み合わせた総合的歯科診療をベースにしています。そうすることで、患者さん一人ひとりにとってベストであると考えられる医療の提案を実現しています。一般的なワイヤー矯正のほか、リンガル矯正、マウスピース矯正、部分矯正、インプラント矯正などにも対応可能です。
矯正装置をつけている間は、装置調整や口内の衛生管理のために定期的に診察を行い、歯磨きの指導やクリーニングを行っています。また、矯正治療が終了した後の保定期間にも引き続き、経過確認やメンテナンスを受けることをすすめています。
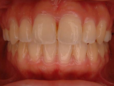
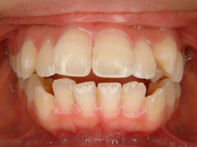
開咬で重度な上下顎前突の症例です。成人であること、側貌の劇的な改善が必要なケースですので、上下4本抜歯のスペースを利用して治療しました。上下のレベリングが終了し矯正用インプラント4本を用いて前歯を後退させ、上下の前後のズレをほぼ0㎜に調整。 動的治療期間は12ヶ月で、開咬や上下叢生、重度の上下顎前突が改善され、側貌もすっきりしました。
| 治療内容 | 開咬及び上下顎前突のため、小臼歯の4本抜歯のスペースを利用して前歯部の後方移動および開咬を改善 |
|---|---|
| 治療期間・回数 | 20ヶ月 |
| 費用 | 715,000円(税込) |
| リスク・副作用 | 保険適応の治療に比較し治療費が高額になります。 矯正治療中の歯の移動の際、痛みを伴う場合があります。 |

徳島大学歯学部を卒業後、岡山大学歯学部第二補綴科で文部教官助手として治療や研究に従事し、倉敷市の水島中央病院の医長に就任。その後、平成6年に現在クリニックがある場所で歯科医院を開業しています。
日本口腔インプラント学会専門医や日本顎咬合学会認定医、セントルイス大学認定による矯正認定医などの資格を有し、学会や研究会の理事もつとめています。
矯正歯科のほかにも、子どもの虫歯治療から一般歯科、審美歯科、インプラント、さらに精密歯科治療まで、幅ひろい医療の提供に対応しているクリニックです。高度なかかりつけ総合歯科医院として、オペ室を設け機器を整えることで治療環境を充実させています。
| 所在地 | 岡山県岡山市中区門田屋敷2-2-10 |
|---|---|
| アクセス | 岡電東山線「門田屋敷駅」より徒歩1分 |
| 診療時間 | 【予約制】 午前 9:00~13:00 午後 15:00~19:00(土曜は18:00まで) |
| 休診日 | 木曜・日曜・祝日 |
| 電話番号 | 086-272-7544 |
| 公式HP | https://dental-ishii.com/ |
ここでは数あるクリニックの中から、目的に応じて3院ピックアップ。
ぜひ、あなたに合った歯科クリニックを見つけるための、参考にしてみてください。


