ここでは数あるクリニックの中から、目的に応じて3院ピックアップ。
ぜひ、あなたに合った歯科クリニックを見つけるための、参考にしてみてください。
矯正治療は長い期間がかかることから、コミュニケーションを重視した対応と、通いやすい診療時間・設備環境の提供に力を入れているたい矯正歯科。ここでは、たい矯正歯科について紹介しています。
(前略)相談にも親身になって乗ってくださるし、施術の時には都度丁寧に説明をしてくださって安心感が大きかったので、不安なく頑張れました!(後略)
疑問に思うことは、質問すれば丁寧に説明してくれる。
(前略)平日習い事が有り通院出来ないのですが土日祝日も診療されていて助かってます。矯正中は装置が取れたり痛かったりがありますがすぐに対応してくださるのでとても心強いです。(後略)
(前略)土日祝日も診療されていてトラブルにも対応してくださり安心です。心配な事があっても常に寄り添って丁寧に説明してくださりありがとうございます。(後略)
患者さんの立場に立ち、親身に相談に耳を傾けてくれる先生を高く評価する口コミがみられます。また、診療日に関する口コミも目立ちました。週末にも診療を行っているため、都合をつけやすいと感じている方が多いようです。
矯正治療に関する不安を解消してから治療にのぞみたい方、そして平日に通院するのは難しい方にも、特におすすめしたい歯科医院です。
| 相談料 | 無料 |
|---|---|
| 精密検査料 | 17,600円 |
| 診断料 | 4,400円 |
| 子どもの矯正(混合歯列期) | Ⅰ期治療110,000円~495,000円、Ⅱ期追加料金330,000円~440,000円、処置料3,300円~5,500円/来院毎 |
| 大人の矯正(永久歯列期) | Ⅱ期治療660,000円~935,000円、マウスピース型矯正880,000円~990,000円、処置料3,300円~5,500円/来院毎 |
たい矯正歯科は、指定自立支援医療機関(育成更生医療指定機関)、顎口腔機能診断施設。医師は10名以上おり、女性医師も複数名在籍(2024年8月調査時点)。
土日祝も診療をおこなっているので、平日の治療が難しい方でも通いやすく、駐車場完備で車での来院もしやすいです。また、院内はバリアフリー対応で、キッズルームやおむつ交換代、子供用トイレ完備。小さいお子様連れの治療や、子どもの受診にも安心です。
子どもの矯正治療は乳歯列期(1~6歳)、Ⅰ期治療にあたる混合歯列期(7~12歳)、Ⅱ期治療にあたる永久歯列期(13~18歳)の3つの年代区分に分けて実施。
乳歯列期では早期治療用マウスピースで顎の成長の育成と噛み合わせの改善を。Ⅰ期治療では拡大装置もしくはブラケットで、正しい噛み合わせになるように誘導。Ⅱ期治療では、金属製もしくはセラミック製のマルチブラケットと、アライン・テクノロジー社のマウスピース型矯正装置インビザラインを使用した仕上げ治療をおこなっています。
矯正治療では、最初に無料相談(要予約)にて診断もしてくれます。
また、顎の骨の成長と永久歯の生え具合によって非抜歯治療の有無が決まりますので、乳歯列期のうちからの定期検診や、歯並びや噛み合わせに影響する癖を改善するための指導やトレーニングを推奨しています。
また、たい矯正歯科は矯正治療専門として虫歯治療には非対応。虫歯治療や定期検診は一般歯科の受診となり、歯科医院の紹介をおこなっています。
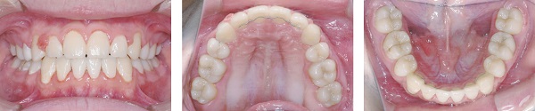
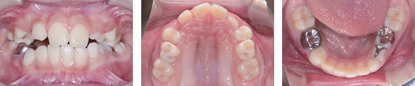
歯のでこぼこが気になると悩まれ来院された症例事例です。診断名は叢生。マルチブラケット装置を用いた治療で、上下顎両側第一小臼歯を抜歯し、2年で矯正治療が完了しました。
| 治療内容 | マルチブラケット装置、上下顎両側第一小臼歯抜歯 |
|---|---|
| 治療期間・回数 | 2年 |
| 費用※自由診療となります。 | 75万円+消費税 |
| リスク・副作用 | 口腔内が清掃不良の場合、虫歯や歯周炎のリスクが高くなります。 歯肉退縮、歯根吸収が生じる可能性があります。 |

理事長は日本矯正歯科学会認定医、日本成人矯正歯科学会認定医、日本矯正歯科学会臨床指導医。アメリカの矯正治療現場に感銘を受けたことをきっかけに、矯正歯科医師に。その他、11名の医師が在籍しています(2024年8月調査時点)。


3Fには、受付や相談スペース、診療スペース、キッズルーム、おむつ変えシート完備の女性用トイレ、さらに給茶機などの設備があります。相談スペースや診療スペースは、患者さんのプライバシーを確保できるよう工夫されています。
4Fにある設備は、診療スペースや放射線スペース、待合スペース、ブラッシングコーナーなどです。落ち着いた雰囲気の待合スペースには、ゆったりと座れるソファーが設置されています。
乳歯列期からの強瀬治療に対応している矯正治療専門医院。ただ、虫歯治療などはおこなっていないので、矯正治療前や治療期間中で必要となった治療に関しては他院での受診となります。女性医師も含めて在籍する医師が多く、設備・診療時間が配慮されており通いやすいです。
| 所在地 | 岡山県岡山市北区青江5-1-1 ライフプラザ青江3F |
|---|---|
| アクセス | 「当新田・大東」「南ふれあいセンター・岡南飛行場」行から「青江西バス停」より下車、 「宇野駅・玉野市役所前」「秀天橋」「渋川」行から「青江西バス停」より下車 |
| 診療時間 | 火曜:13:30~19:30、水~金曜:13:00~19:00、土日祝:10:00~17:30 |
| 休診日 | 月曜 |
| 電話番号 | 0120-118-551・086-234-6480 |
| 公式HP | https://www.tai-ortho.com/ |
ここでは数あるクリニックの中から、目的に応じて3院ピックアップ。
ぜひ、あなたに合った歯科クリニックを見つけるための、参考にしてみてください。


